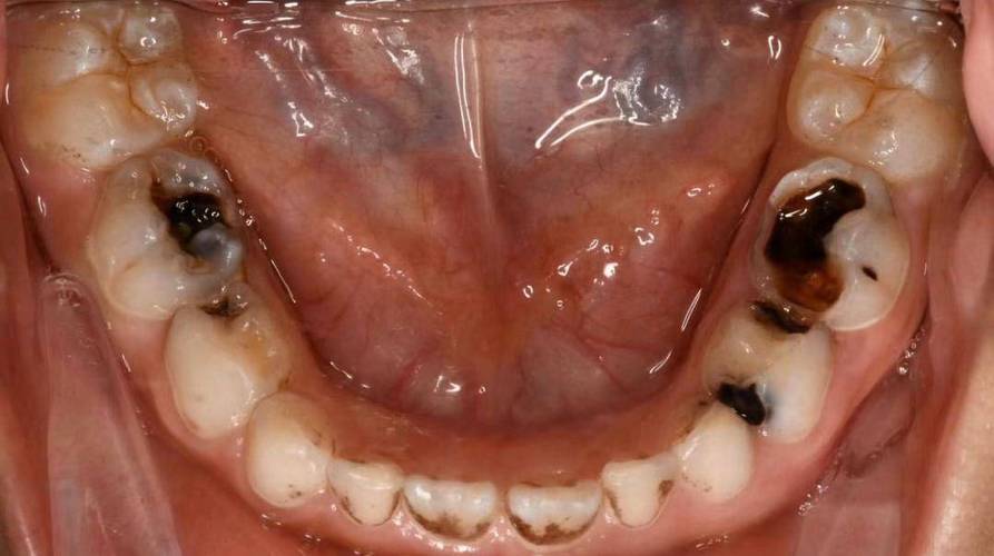
非常理解您作为家长的担忧,6岁儿童牙齿发黑且有洞,这是龋齿(俗称蛀牙或虫牙)的典型表现,需要引起高度重视,并及时处理。

下面我将为您详细分析原因、说明危害、并提供具体的处理步骤和预防建议。
为什么6岁孩子会牙齿发黑有洞?
6岁是孩子换牙的关键时期,第一恒磨牙(俗称“六龄齿”)会悄悄在牙床后部萌出,同时乳牙也还在,这个阶段的牙齿问题通常由以下几个原因造成:
-
口腔清洁不到位(最主要原因)
- 刷牙不彻底:孩子自己刷牙往往刷不干净,特别是后槽牙的咬合面和牙缝处,食物残渣和细菌容易堆积。
- 家长监督不足:很多家长认为孩子还小,刷不干净没关系,或者没有养成每天帮孩子刷牙的习惯,尤其是在晚上睡前。
-
饮食结构不合理
(图片来源网络,侵删)- 频繁进食甜食和零食:糖果、饼干、蛋糕、含糖饮料(果汁、乳酸菌饮料等)等,会为口腔细菌提供丰富的“养料”。
- 饮食次数过多:除了正餐,频繁的加餐或零食,会让牙齿长时间处于酸性环境中,更容易被腐蚀。
-
“六龄齿”的特殊性
- 窝沟深:新萌出的“六龄齿”咬合面有很多又深又窄的沟裂(窝沟),食物残渣很容易嵌进去,牙刷刷毛很难完全清洁到。
- 位置靠后:孩子自己很难刷干净最里面的牙齿,家长也容易忽略。
-
不良习惯
- 含着奶瓶睡觉:如果孩子还有喝奶后不刷牙直接睡觉的习惯,奶渍会长时间附着在牙齿上,造成“奶瓶龋”。
- 喝夜奶:夜间唾液分泌减少,口腔自洁能力下降,喝夜奶后不清洁,极易导致蛀牙。
牙齿发黑有洞的危害(千万不要等!)
很多家长觉得“反正要换牙,蛀了就蛀了”,这种想法是极其错误的。
- 剧烈疼痛:蛀牙会侵犯牙神经,引起牙髓炎,导致孩子吃饭、喝水都疼,影响进食和营养吸收。
- 影响恒牙发育:乳牙是恒牙的“向导”,如果乳牙因为严重蛀牙过早脱落,旁边的牙齿会倾斜占用空间,导致将来恒牙长歪、长不齐,需要后期进行正畸治疗。
- 引发感染:严重的蛀牙可能发展成根尖周炎,导致牙根发炎,在牙龈上鼓起“脓包”,甚至影响下方正在发育的恒牙胚,导致恒牙发育不良或变色。
- 影响发音和心理:多颗牙齿蛀坏会影响孩子的发音,甚至因为牙齿不好看而变得不爱笑、不自信,影响心理健康。
现在应该怎么办?(立即行动!)
第一步:尽快带孩子去看牙医! 这是最重要、最紧急的一步,不要拖延,也不要自己用偏方处理,牙医会根据牙齿的具体情况,给出最合适的治疗方案。

第二步:牙医可能会采取的治疗方案
-
浅龋/中龋(洞比较小):
- 补牙(充填治疗):这是最常见的方法,牙医会磨掉蛀坏的部分,然后用补牙材料把牙齿恢复原状,这个过程通常不疼,会使用麻药让孩子感觉舒适。
-
深龋(洞很深,已经接近或伤到牙神经):
- 根管治疗(牙髓治疗):如果蛀牙已经感染了牙神经,就需要进行根管治疗,清除坏死的牙神经,再进行补牙,这是为了保住这颗牙齿,直到它自然替换。
-
牙齿破坏严重,无法保留:
- 拔牙:如果牙齿已经烂得只剩根,无法修复,就需要拔掉,拔掉后,牙医可能会建议做一个间隙保持器,为将来恒牙萌出预留出空间,防止邻牙移位。
-
预防性治疗:
- 窝沟封闭:对于刚刚萌出的“六龄齿”,如果窝沟很深,医生会建议做窝沟封闭,把窝沟用安全的树脂材料填平,就像给牙齿穿上了一件“保护衣”,能有效预防蛀牙。
- 涂氟:定期给牙齿涂氟,可以增强牙齿的抗酸能力,有效预防龋齿的发生。
如何从根本上预防?(从现在做起!)
治疗是“亡羊补牢”,而预防才是长久之计。
-
掌握正确的刷牙方法
- 早晚刷牙,晚上刷牙更重要:睡前必须刷,刷完不能再吃东西。
- 使用含氟牙膏:3-6岁儿童使用米粒大小的含氟牙膏,6岁以上使用豌豆大小,氟可以坚固牙齿,预防蛀牙。
- 有效刷牙时间:每次刷牙至少2分钟。
- 辅助工具:可以使用儿童电动牙刷,或者让家长帮忙刷,对于大牙缝隙,可以使用牙线。
-
调整饮食习惯
- 减少甜食和含糖饮料:尽量在正餐时吃零食,吃完后及时漱口或喝水。
- 避免零食“轰炸”:两餐之间尽量不吃零食,给牙齿一个“休息”的时间。
- 多喝水:白水是最好的饮料,可以冲刷食物残渣。
-
定期口腔检查
- 每3-6个月带孩子去看一次牙医,进行常规检查和涂氟,这样可以在蛀牙刚萌芽时就发现并处理,省时省力省钱。
-
给“六龄齿”穿上“保护衣”
- 在“六龄齿”完全萌出后(通常在6-7岁),及时咨询牙医是否需要进行窝沟封闭,这是预防“六龄齿”蛀牙最有效的方法。
6岁孩子牙齿发黑有洞,是明确的龋齿信号,必须立即就医。 不要有“等换牙”的侥幸心理,及时治疗可以避免更严重的问题,从现在开始,帮孩子建立良好的口腔卫生习惯和饮食习惯,是保护他们未来一口健康牙齿的基石。
希望这些信息能帮助到您和您的孩子!祝孩子早日拥有一口健康的牙齿!
标签: 6岁宝宝牙齿发黑原因 儿童牙齿有洞补牙流程