什么是儿童氟斑牙?
儿童氟斑牙,又称斑釉牙,是在牙齿发育矿化期间(通常是6岁前,特别是2-8岁),身体摄入了过量的氟化物,导致牙釉质发育不全的一种非龋性疾病,它的特点是牙齿表面出现白垩色、黄褐色或棕色的斑块和缺损。

氟斑牙前期的关键特征(轻度)
氟斑牙是分度的,前期通常指最轻度的I度氟斑牙,这个阶段是干预和预防加重的最佳时期,家长需要格外留意。
以下是氟斑牙前期的主要特征:
白垩色斑块(最典型的早期信号)
- 外观描述:牙齿表面出现不透明的、像粉笔或石膏一样的白色或乳白色斑块、条纹或斑点,这些区域失去了正常牙齿的光泽,看起来“发白”。
- 位置:最常见于上门牙(中切牙和侧切牙)的牙面,尤其是牙尖到牙龈之间的区域,因为门牙是发育最早、最长的牙齿,所以最早暴露问题。
- 感觉:这个阶段通常没有疼痛或敏感,牙齿的形态和大小基本正常,只是颜色和光泽有改变。
轻度着色(可能随时间出现)
- 外观描述:在白垩色斑块的周围或下方,可能会出现淡淡的黄色或棕色的线条或斑点,这是由于牙齿矿化过程中,氟化物影响了釉质的通透性,更容易外源性着色(比如喝茶、喝咖啡、吃有色食物)。
- 进展:如果氟暴露持续,这些黄色着色可能会变得更明显,范围也可能扩大。
牙釉质表面光泽度下降
- 外观描述:即使没有明显的白斑,整个牙齿的表面也可能看起来不那么光滑、有光泽,显得有些“发乌”或“雾蒙蒙”的,这是最轻微的表现,容易被家长忽略。
氟斑牙前期图片描述(文字版)
由于无法直接展示图片,我用文字来描绘一下您在网上搜索时可能看到的图片类型,这能帮助您进行初步判断:
-
图片类型一:典型白垩色斑
(图片来源网络,侵删)- 画面:一张儿童咧嘴笑的照片,可以看到他/她的两颗大门牙唇侧(面向嘴唇的一面)有明显的、不规则的白色斑块,像云朵一样覆盖在牙面上,而牙齿的其他部分是正常的光泽色。
儿童牙齿 白斑、门牙 白色斑块、fluorosis white spots。
-
图片类型二:轻度白垩色伴淡黄色条纹
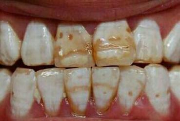
- 画面:牙齿表面有大片的白色区域,在白色区域的边缘或内部,夹杂着淡淡的黄色或棕色的细线,白色和黄色交织在一起,看起来像一幅“地图”。
牙齿 黄白相间、氟斑牙 轻度、mild fluorosis yellow lines。
-
图片类型三:整个牙面光泽度下降
- 画面:牙齿没有明显的色块,但整体看起来没有健康牙齿那种亮白的光泽,显得有些暗淡、发灰,像蒙上了一层薄薄的雾。
牙齿 无光泽、牙面 雾面感、dull tooth surface。
与正常牙齿和龋齿(蛀牙)的区别
非常重要的一点: 家长要学会区分氟斑牙和蛀牙(龋齿)。
| 特征 | 氟斑牙(前期) | 龋齿(蛀牙)早期) |
|---|---|---|
| 颜色 | 白色、黄白色斑块 | 褐色、黑色斑点或洞 |
| 位置 | 对称性,通常在同一位置的多颗牙齿上出现(如双侧门牙) | 不一定对称,容易出现在牙齿的窝沟、邻接面 |
| 光泽度 | 白斑区域无光泽,其他部分正常 | 整个患牙区域都失去光泽,表面粗糙 |
| 感觉 | 通常无痛 | 可能对冷、热、甜、酸敏感 |
| 形态 | 牙齿形态基本正常 | 牙齿表面有缺损、变软或形成洞 |
简单总结:氟斑牙是“白斑”,蛀牙是“黑点/黑洞”,氟斑牙是“一片白”,蛀牙是“一个洞”。

如果怀疑是氟斑牙前期,该怎么办?
- 立即就医:带孩子去看儿童牙医或口腔科医生,医生可以通过临床检查和询问孩子的饮水来源、生活习惯等,做出明确诊断。
- 查找氟源:医生会帮助分析可能的氟过量来源,
- 饮水:是否饮用含氟量过高的井水或地下水?
- 牙膏:是否在使用含氟牙膏时,挤了过多的量(如豌豆大小),且孩子未能有效吐出?
- supplements:是否在不必要的情况下服用了氟补充剂?
- 预防加重:
- 更换水源:如果是饮水问题,建议改用符合标准的自来水或瓶装水。
- 监督刷牙:确保孩子使用含氟牙膏(量要合适,3岁以下米粒大小,3-6岁豌豆大小),并教会孩子吐出泡沫,不要吞咽。
- 美学修复(后期):对于前期的白垩色斑,通常不需要治疗,如果影响美观,医生可能会建议在孩子年龄稍大后(如恒牙完全萌出后),采用牙齿漂白、微研磨或树脂美学修复等方法来改善外观。
早期发现是关键。 如果您孩子的牙齿出现上述任何一种白垩色表现,请不要掉以轻心,及时寻求专业牙医的帮助。
标签: 儿童氟斑牙早期症状图片 如何识别儿童氟斑牙前期表现 儿童氟斑牙预防与早期图片识别