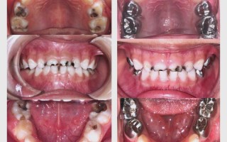
儿童健康 全麻补牙会对儿童的身体发育和认知功能产生哪些潜在影响? 全麻补牙对儿童的影响:家长最关心的风险、益处与全面解析** 当孩子因牙齿问题需要多次、复杂治疗而无法配合时,全麻补牙成为了一种选择,本文作为资深口腔科医生,将全面、客观地解析全麻补牙对儿童的影响,包括... 99ANYc3cd6 2026-01-18 1 #全麻补牙儿童发育影响 #儿童全麻补牙认知功能风险 #全麻补牙对孩子身体发育影响