非常理解您作为家长此刻的担忧和焦虑,10岁儿童出现脱髓鞘,确实是一个需要严肃对待但也不必过度恐慌的问题,下面我将为您详细解释脱髓鞘是什么、可能的原因、应该怎么办,以及家长如何帮助孩子。

第一步:正确认识“脱髓鞘”
请不要被“脱髓鞘”这个词吓到,我们可以用一个简单的比喻来理解:
- 神经纤维:就像电线里的铜线,负责传递电信号(神经冲动)。
- 髓鞘:就像包裹在铜线外的绝缘皮,它的作用是让信号传递得更快、更准确,并且保护铜线不被损坏。
脱髓鞘,简单说就是这层“绝缘皮”出了问题,可能被破坏、剥脱,或者没有正常形成,这会导致神经信号传递变慢、中断或出错,从而在身体上表现出各种症状。
对于儿童来说,脱髓鞘可以分为两大类,这一点至关重要,因为它们的处理方式完全不同:
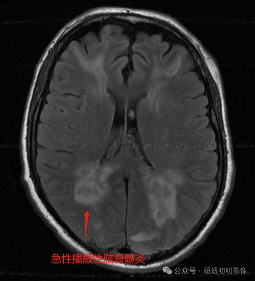
-
急性播散性脑脊髓炎:
(图片来源网络,侵删)- 性质:这是一种单次、急性的免疫攻击,通常发生在病毒或细菌感染(如感冒、出水痘、接种疫苗后)后的1-2周内。
- 特点:免疫系统被“激活”后,错误地攻击了自身的髓鞘,造成一次性的损伤。
- 预后:绝大多数预后良好,经过急性期的激素冲击等治疗,大部分孩子可以完全康复或基本康复,不留后遗症或仅有轻微后遗症,它更像是一次“免疫风暴”后的修复过程。
-
多发性硬化症:
- 性质:这是一种慢性、反复发作的自身免疫性疾病。
- 特点:免疫系统会反复、多次地攻击大脑和脊髓的髓鞘,导致越来越多的损伤。
- 在儿童中:虽然多发性硬化症在成人中更常见,但它也可能在儿童甚至青少年时期发病,儿童患者的复发率可能更高,但恢复能力通常比成人好,对治疗的反应也较好。
第二步:立即应该怎么办?(行动指南)
当您怀疑或已经得知孩子有脱髓鞘问题时,请按以下步骤行动:
立即寻求专业医疗帮助(最最重要!)
- 挂什么科?
- 首选:神经内科,这是诊断和治疗神经系统疾病的核心科室。
- 如果孩子症状紧急(如剧烈头痛、呕吐、意识不清、抽搐),应立即去急诊科,稳定后再转诊至神经内科。
- 为什么必须看神经内科医生?
- 精准诊断:神经内科医生会通过详细的问诊和体格检查,判断脱髓鞘的类型、位置和严重程度。
- 影像学检查:医生会安排头颅MRI(磁共振成像),这是诊断脱髓鞘最关键的检查,MRI可以清晰显示大脑和脊髓是否有髓鞘脱失的病灶,以及病灶的数量、大小和位置。
- 鉴别诊断:医生还需要结合孩子的病史(近期有无感染等)和腰椎穿刺(查脑脊液)等检查,来排除其他类似症状的疾病,最终明确是ADEM还是MS或其他类型。
配合医生,进行全面评估
- 详细告知病史:向医生详细描述孩子发病的时间、具体症状(如视力模糊、手脚无力、走路不稳、麻木、大小便异常等)、症状的发展过程,以及发病前1-2周有无感染、疫苗接种等情况。
- 完成必要检查:除了MRI和腰椎穿刺,可能还需要进行血液检查(如免疫指标、病毒抗体等)、视觉诱发电位、脑电图等,以辅助诊断和评估病情。
遵从医嘱,积极治疗
治疗方案取决于脱髓鞘的类型和严重程度:
-
对于ADEM(急性期):
(图片来源网络,侵删)- 主要治疗:大剂量激素冲击治疗,通常使用甲基强的松龙,通过静脉输注,快速抑制免疫系统的攻击,减轻炎症,促进髓鞘修复,这是最经典和有效的治疗方法。
- 辅助治疗:如果病情严重,可能需要使用丙种球蛋白或进行血浆置换。
- 康复治疗:在急性期过后,如果孩子有肢体无力、行走不稳、语言障碍等功能问题,应尽早开始康复治疗,包括物理治疗、作业治疗、言语治疗等,帮助孩子最大限度地恢复功能。
-
对于MS(确诊后):
- 治疗目标:主要是减少复发、延缓疾病进展、治疗急性发作。
- 急性期治疗:同样使用大剂量激素冲击。
- 长期疾病修正治疗:这是MS管理的核心,医生会根据孩子的年龄、病情严重程度等因素,选择一种或多种药物进行长期治疗,这些药物包括:
- 注射类药物:如干扰素β-1a、干扰素β-1b、格拉替雷等。
- 口服药物:如特立氟胺、富马酸二甲酯等,服用更方便。
- 生物制剂:如那他珠单抗、奥瑞珠单抗等,通常用于病情较重或对其他药物反应不佳的患者。
- 康复治疗:贯穿始终,帮助孩子在缓解期维持和改善功能。
第三步:家长如何帮助孩子?(家庭护理与心理支持)
除了医疗治疗,家庭的支持对孩子的康复至关重要。
创造一个积极、支持的家庭环境
- 保持冷静,传递信心:孩子非常敏感,家长的焦虑会传递给他,请尽量保持冷静,用积极的态度告诉孩子:“医生已经找到问题了,我们正在一起努力,很快就会好起来的。”
- 耐心倾听:如果孩子因为疾病感到害怕、沮丧或疼痛,请耐心倾听他的感受,给予拥抱和安慰,让他知道,他的所有情绪都是被允许的。
关注孩子的日常生活
- 保证充足休息:尤其是在急性期和恢复期,充足的睡眠和休息是身体修复的基础。
- 均衡营养:提供富含蛋白质、维生素(特别是B族维生素,对神经有益)、Omega-3脂肪酸的食物,多吃新鲜蔬菜水果,保证营养均衡。
- 适度活动:在医生允许和康复师的指导下,鼓励孩子进行适度的活动,如果行动不便,可以做一些床上运动,保持肌肉力量和关节活动度,避免过度劳累。
做好病情观察和记录
- 记录症状变化:简单记录下孩子每天的症状,如“今天走路比昨天稳了”、“下午有点头晕”等,这些信息对医生复诊和调整治疗方案非常有帮助。
- 注意药物副作用:如果孩子在使用激素或其他药物,注意观察是否有副作用(如情绪波动、食欲增加、体重增加等),并及时与医生沟通。
与学校和老师沟通
- 如果孩子因病缺课或需要特殊照顾(如不能上体育课、需要中间休息等),请及时与学校老师沟通,争取他们的理解和支持,帮助孩子跟上学习进度,避免因疾病产生社交和学习上的压力。
总结与展望
面对10岁儿童的脱髓鞘,家长的核心任务是:
- 立即行动:尽快带孩子去正规医院的神经内科就诊,明确诊断。
- 信任医生:与医生充分沟通,了解病情,并严格遵从医嘱进行治疗。
- 家庭支持:给予孩子无条件的关爱、耐心和信心,做好日常护理。
- 长远规划:无论是ADEM还是MS,早期诊断、规范治疗和积极康复都是获得良好预后的关键,现代医学对于儿童脱髓鞘的治疗手段已经非常成熟,很多孩子都能像正常孩子一样生活、学习和成长。
您不是一个人在战斗,神经内科医生、康复治疗师以及您的家人都是您和孩子坚实的后盾,保持积极心态,科学应对,孩子一定有非常好的未来。
标签: 儿童脱髓鞘康复训练 10岁脱髓鞘病因分析 小儿脱髓鞘治疗方案