儿童第五跖骨突出图片解析:家长不必恐慌,但需科学应对**

(导语/引言)
亲爱的家长朋友们,您是否曾注意到孩子脚外侧靠近小趾的地方,似乎比另一侧更突出一些?当您搜索“儿童第五跖骨突出图片”时,心中是否充满了疑惑与担忧?别担心,今天我们就以专业的视角,结合清晰的图片示意(注:本文为文字描述,实际配图需专业拍摄或授权),为您详细解读儿童第五跖骨突出的那些事儿,帮助您正确认识、科学判断,避免不必要的焦虑。
认识我们的“第五跖骨”:它是什么?为什么重要?
让我们简单了解一下什么是第五跖骨。 我们的每只脚有5块跖骨,它们位于足部中间,连接脚后跟的跗骨和前端的趾骨,构成了足弓的主要框架。第五跖骨就是位于小趾下方的那块跖骨(如图1所示示意图:正常足部骨骼示意图,清晰标注第五跖骨位置)。

- 第五跖骨的功能:它不仅参与支撑身体重量,还在行走、奔跑、跳跃时起到平衡和传导力量的重要作用,其外侧末端有一个骨性突起,称为第五跖骨基底结节,这是足部多条重要肌腱(如腓骨短肌腱)的附着点,对于维持足部外侧稳定至关重要。
(图1示意:正常足部骨骼侧面观和底面观,用不同颜色高亮第五跖骨及其基底结节)
儿童第五跖骨突出,是正常现象还是疾病?
当看到孩子第五跖骨区域突出时,家长最关心的是:这是正常的生理结构,还是某种疾病的信号?
-
生理性突出(常见,无需过度担心):
(图片来源网络,侵删)- 原因:如前所述,第五跖骨本身就有生理性的基底结节,部分儿童,尤其是体型较瘦或足部肌肉不发达的,这个突起可能更为明显,从外观上看就比较“突出”。
- 特点:
- 对称性:通常双脚都会存在,程度相似。
- 无疼痛:孩子没有抱怨疼痛,行走、跑步、运动均不受影响。
- 柔软度:局部无红肿、皮温正常,按压时孩子不抗拒或仅有轻微酸胀感。
- 生长变化:随着孩子生长发育,足部脂肪和肌肉的变化,外观可能会略有改变。
-
病理性突出(需引起重视,及时就医): 如果第五跖骨突出伴随以下情况,则可能提示存在病理问题,需要尽快带孩子咨询小儿骨科或足踝外科医生:
- 外伤史:孩子近期有脚踝扭伤、足部外伤史,可能导致第五跖骨基底骨折(如Jones骨折)或骨骺损伤,这种突出往往伴有明显疼痛、肿胀、淤血,无法正常负重行走。
- 第五跖骨骨骺炎/骨骺损伤:多见于活跃的青少年儿童,由于过度运动、牵拉伤等,导致第五跖骨基底骨骺出现炎症或损伤,突出处常有压痛,运动后疼痛加剧。
- 肿瘤或瘤样病变(罕见):如骨软骨瘤、骨囊肿等,也可能导致局部骨性膨大,通常生长缓慢,初期可能无症状,随着肿块增大可能出现压迫症状或疼痛。
- 其他足部畸形:如扁平足、足外翻等,有时也会伴随第五跖骨区域的形态改变。
(图2示意:生理性突出与病理性突出的对比示意图,左侧为正常生理性突出,双侧对称,无红肿;右侧为病理性突出,可能伴有肿胀、畸形,示意骨折或骨赘形成)
如何通过“图片”初步判断?(家长自检小贴士)
虽然不能仅凭图片确诊,但家长可以通过以下观察要点进行初步判断,为医生提供更多信息:
- 观察对称性:对比双脚第五跖骨突出的程度是否一致,生理性突出通常对称。
- 观察外观:突出部位是否光滑?有无异常的肿块或皮肤颜色改变?病理性突出可能形态不规则或伴有软组织肿胀。
- 触摸感受:让孩子平躺,触摸双侧第五跖骨基底,生理性的通常质地较硬,无压痛;病理性的可能有压痛、皮温升高,或触及异常包块。
- 活动度与疼痛:让孩子活动脚趾和小腿,观察是否有疼痛,让孩子尝试用足外侧站立或单脚跳,看是否诱发疼痛。
(图3示意:家长如何触摸检查第五跖骨基底的示意图,标注按压点)
重要提示:图片仅供参考,不能替代专业医生的诊断,如果您有任何疑虑,请务必带孩子就医。
儿童第五跖骨突出(病理性)的常见原因与就医指征
常见原因:
- 急性骨折:多为直接暴力或严重扭伤导致。
- 骨骺损伤/骨骺炎:多见于运动量大的儿童,是慢性劳损或急性牵拉伤的结果。
- 应力性骨折:反复、轻微的过度负荷导致,初期症状可能不明显,逐渐加重。
- 骨软骨瘤:最常见的良性骨肿瘤,可发生于任何骨骼,包括第五跖骨。
何时需要立即就医?
- 孩子主诉足部外侧疼痛,尤其是有明显外伤史后。
- 发现第五跖骨区域异常突出,伴有肿胀、淤血。
- 孩子出现跛行、拒绝用患脚负重。
- 突出物在短期内迅速增大。
- 保守治疗后疼痛无缓解或加重。
医生会如何诊断与治疗?(专业解读)
当您带孩子就医时,医生通常会进行以下步骤:
- 详细问诊:了解受伤史、发病过程、症状特点、运动习惯等。
- 体格检查:视诊、触诊、检查关节活动度、步态等,评估压痛点和肿胀情况。
- 影像学检查:
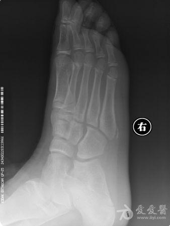
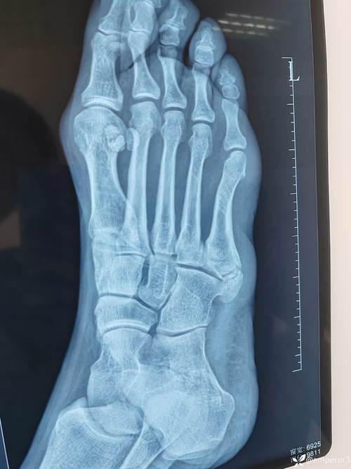
- X线片:是首选的检查方法,可以清晰显示骨骼形态,判断是否存在骨折、骨折类型、骨骺损伤、骨软骨瘤等。
- CT或MRI:对于复杂骨折、隐匿性骨折或软组织损伤评估,CT或MRI能提供更详细的信息。
治疗方案(根据具体病因):
- 生理性突出:通常无需特殊处理,观察即可,建议选择合适的鞋子,避免过度挤压。
- 轻微骨骺炎/软组织损伤:休息、减少负重、冰敷、佩戴矫形鞋垫或护具,必要时非甾体抗炎药缓解疼痛。
- 骨折:
- 无移位或轻微移位:通常采用石膏或支具固定4-6周。
- 移位明显或关节内骨折:可能需要手法复位或手术治疗(如内固定术)。
- 骨软骨瘤:若肿瘤较小、无症状,可观察;若引起疼痛、压迫症状或怀疑恶性变,手术切除是主要治疗方法。
- 应力性骨折:休息、避免剧烈运动,配合物理治疗,通常预后良好。
(图4示意:儿童第五跖骨基底骨折的X线片示意图,标注骨折线;图5示意:骨软骨瘤的X线/CT示意图,显示菜花状骨性突起)
家长如何日常护理与预防?
- 选择合适的鞋子:鞋子应具有良好的支撑性、合适的鞋头宽度(避免挤压第五跖骨),鞋底有一定的弹性,避免穿过小、过硬的鞋。
- 避免过度运动:引导孩子科学运动,循序渐进,避免长时间、高强度的单一运动,尤其是对足部冲击大的运动。
- 注意运动安全:运动前充分热身,运动中注意保护,运动后适当拉伸,避免在不平整的场地上剧烈奔跑。
- 关注孩子主诉:经常询问孩子脚部是否有不适,不要忽视孩子抱怨的“脚疼”。
- 保持健康体重:过重会增加足部的负担,增加骨骼损伤的风险。
儿童第五跖骨突出,有生理性的正常表现,也可能隐藏着病理性问题,通过“儿童第五跖骨突出图片”的搜索,您可能是想寻求答案,也可能是想缓解焦虑,希望这篇文章能为您提供清晰的指引。图片观察是初步的,专业医生的诊断才是关键,如果您对孩子的足部状况有任何疑虑,请不要犹豫,及时带孩子到正规医院的小儿骨科或足踝外科就诊,早发现、早干预,让孩子健康快乐地成长!
(文末可加上相关热门标签,如:#儿童足部健康 #第五跖骨 #儿童骨科 #足部畸形 #家长必看 #宝宝脚痛 #骨骺炎)
策划与SEO优化要点回顾:**
- 核心关键词布局、导语、小标题、正文、图片说明、文末标签中自然融入“儿童第五跖骨突出图片”及长尾关键词(如“儿童第五跖骨突出怎么办”、“儿童第五跖骨骨折图片”等)。
- 用户需求洞察:精准捕捉家长看到孩子足部异常时的焦虑心理,提供“是什么-为什么-怎么办”的完整解决方案。
- 专业性与权威性:以医生口吻阐述,确保医学知识准确,同时避免过于晦涩难懂,用通俗语言解释专业术语。
- 图片示意重要性:虽然本文为文字,但多次强调图片辅助判断,并描述了关键图片内容,引导用户对配图产生需求,实际发布时需搭配高质量、标注清晰的医学图片或示意图。
- :使用清晰的H1-H2标题、小标题、项目符号,便于阅读和搜索引擎抓取。
- 原创性与价值:提供独家见解(如生理性与病理性突出的详细区分、家长自检小贴士),避免简单复制粘贴。
- 行动召唤(CTA):明确引导家长在何种情况下需就医,强调专业诊断的重要性。
- 流量获取潜力:覆盖了从症状识别、初步判断、就医指南到日常护理的全流程,满足不同搜索意图的用户,提高页面停留时间和转化率。
希望这篇文章能达到您的预期!
标签: 儿童第五跖骨突出正常吗 儿童第五跖骨突出图片解析 儿童第五跖骨突出怎么办