牙槽骨是包裹在牙齿周围、支撑牙齿的骨骼组织。 当我们说“牙槽骨突出”时,通常指的是牙齿萌出过程中,牙槽骨的形态在牙龈表面显现出来,或者因为某些原因导致牙槽骨形态异常。

下面我将分几种常见情况来解释,并配以图片说明。
正常生理现象(乳牙/恒牙萌出期)
这是最常见的情况,家长无需担心。
-
成因: 在乳牙或恒牙即将萌出时,牙齿会压迫上方的牙龈和牙槽骨,导致局部牙龈组织变白、变硬,形成一个鼓包,这个鼓包其实就是被牙齿顶起来的牙槽骨和牙龈。
-
特征:
(图片来源网络,侵删)- 通常出现在牙齿应该萌出的位置。
- 摸上去是一个硬硬的包,不红不肿,孩子没有疼痛感。
- 随着牙齿逐渐萌出,这个“鼓包”会慢慢被牙齿顶破,牙龈退缩,牙齿长出,牙槽骨恢复平整。
-
图片说明:
-
解读: 上图中,可以看到孩子的下颌前牙区牙龈上有一个明显的、白色的、鼓起的包,这就是恒牙正在萌出的正常迹象,牙槽骨被正在生长的牙齿向上顶起,形成了这个可见的形态。
-
解读: 这张图更清晰地展示了牙齿(白色箭头)正在向上萌出,顶起上方的牙龈和牙槽骨(红色箭头),形成了我们看到的“骨包”。
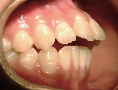
牙齿萌出方向异常(最常见的是“虎牙”)
这种情况也很常见,通常是由于乳牙早失、空间不足等原因导致恒牙萌出时位置不正。

-
成因: 恒牙(尤其是尖牙,也就是“虎牙”)在萌出过程中,因为前面乳牙早失留下的空间不足,或者邻牙的阻挡,导致它没有在正确的位置垂直萌出,而是以一个倾斜的角度生长,倾斜的牙冠会把牙槽骨和牙龈顶向颊侧(嘴唇方向),形成一个非常明显的、像小尖山一样的骨性凸起。
-
特征:
- 通常发生在尖牙(虎牙)或前磨牙的位置。
- 突起非常明显,摸上去是坚硬的骨质感。
- 突起处的牙龈可能很薄,颜色正常,但有时会因为摩擦而发白。
-
图片说明:
-
解读: 上图中,可以看到上颌侧切牙(门牙旁边的小一点的牙)的位置,有一个非常明显的、尖锐的骨性凸起,这很可能就是尖牙正在错误的位置萌出,将牙槽骨顶起形成的。
-
解读: 这张X光片可以清晰地看到问题的本质,可以看到倾斜的尖牙(红色箭头)正在向上萌出,其牙冠顶在了牙槽骨的颊侧,形成了临床上的“骨包”,蓝色箭头指出了牙槽骨的形态变化。
病理因素(相对少见)
在某些情况下,牙槽骨突出可能是疾病的信号。
-
牙源性肿瘤或囊肿:
- 成因: 牙齿发育异常(如含牙囊肿、成釉细胞瘤等)可能在牙槽骨内形成囊性或实性的肿物,向外膨胀,导致牙槽骨膨隆。
- 特征:
- 通常无痛,但会缓慢增大。
- 表面光滑,质地较硬或较有弹性。
- 可能导致邻牙移位或松动。
- 有时会导致面部不对称。
-
颌骨骨髓炎:
- 成因: 细菌感染导致颌骨发炎、化脓,形成骨质破坏和增生。
- 特征:
- 通常伴有红、肿、热、痛等急性炎症表现。
- 孩子可能会有发烧、精神不振等症状。
- 突起区域按压时有疼痛感,甚至可能看到脓液流出。
-
遗传性疾病:
- 成因: 某些遗传综合征(如 cherubism)会导致颌骨(尤其是下颌骨)对称性地膨大,看起来像骨头突出。
病理情况的图片示例(仅作示意,需由医生诊断):
- 解读: 这张图展示了一个比较严重的颌骨膨大,这可能是由囊肿或肿瘤等病理因素引起的,可以看到整个下颌骨的轮廓都发生了改变,不再是正常的弧形,而是出现了巨大的、不规则的骨性膨隆。
家长应该怎么做?
- 保持冷静,不要惊慌。 大多数情况下,孩子牙槽骨突出是牙齿萌出的正常过程。
- 仔细观察:
- 位置: 突起是在牙齿该长出的地方吗?还是在奇怪的位置?
- 形态: 是鼓包还是尖锐的凸起?
- 颜色: 牙龈颜色正常吗?有没有红肿?
- 感觉: 孩子有没有喊疼?有没有发烧?
- 不要自行处理: 千万不要用手去抠、用针去挑,或者用任何偏方处理!这可能会导致严重感染,损伤正在萌出的牙齿或牙神经。
- 及时就医: 最正确、最安全的做法是带孩子去看专业的儿童牙医或口腔正畸医生。
- 医生会通过临床检查,必要时拍摄X光片(如曲面断层片),来明确诊断。
- 如果是正常萌出,医生会告知您这是正常现象,只需耐心等待牙齿长出即可。
- 如果是萌出方向异常,医生会根据孩子的年龄和具体情况,决定是进行干预(如间隙保持、助萌等)还是等孩子年龄稍大后进行正畸治疗(戴牙套)。
- 如果怀疑是病理因素,医生会制定相应的治疗方案,可能需要手术等。
| 情况 | 常见原因 | 特点 | 处理方式 |
|---|---|---|---|
| 正常萌出 | 牙齿即将长出,顶起牙龈和牙槽骨 | 在正确位置,硬包,不红不肿,无疼痛 | 无需处理,等待牙齿萌出即可 |
| 萌出方向异常 | 空间不足,牙齿倾斜生长 | 常见于“虎牙”,尖锐的骨性凸起 | 咨询正畸医生,可能需要正畸干预 |
| 病理因素 | 肿瘤、囊肿、感染等 | 生长缓慢或迅速,可能伴有疼痛、红肿、牙齿移位 | 立即就医,进行专业诊断和治疗 |
希望这些信息能帮助您更好地了解孩子的口腔状况,网络图片仅供参考,不能替代专业医生的诊断,如有疑虑,请务必寻求专业帮助。