什么是儿童纤维性骨皮质缺损?
儿童纤维性骨皮质缺损是一种良性的、自限性的骨骼发育异常,它不是肿瘤,也不是癌症。

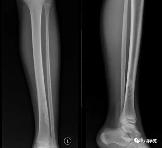
- 核心特征:在骨骼的皮质层(骨密质,骨头最坚硬的外层)出现一个小的、边界清晰的、圆形或椭圆形的骨质缺损区。
- 内部填充物:这个缺损区被一些纤维组织或纤维软骨组织所填充,而不是正常的骨组织,由于这些软组织的密度比周围的骨骼低,所以在X光片上会显示为一个“透亮区”或“空洞”。
- 常见位置:绝大多数(约75%)发生在股骨远端(大腿骨靠近膝盖的末端)和胫骨近端(小腿骨靠近膝盖的顶端),也就是膝关节周围,少数也可能出现在其他长骨,如肱骨、桡骨等。
- 高发人群:主要发生在4-8岁的儿童,男孩比女孩更常见,绝大多数孩子在青春期后,病变会自行消失。
病因是什么?
确切病因尚不完全明确,但目前主流的理论认为它与局部骨膜或骨膜下纤维组织的错构有关。
可以通俗地理解为:在骨骼生长发育的过程中,某个局部区域的正常骨化过程出现了“小故障”,导致一小片应该被骨组织填充的地方,被一些“本不该在这里”的纤维组织所占据,这就像在一条坚固的水泥路上,出现了一个由沙子填充的小坑洞。
它不是遗传病,也不是由外伤或感染直接引起的。
有哪些临床表现?
这是家长最关心的问题。

- 绝大多数无症状:这是最关键的一点。超过95%的儿童纤维性骨皮质缺损是在体检或因其他原因(如摔伤)拍X光片时偶然发现的,孩子没有任何疼痛、肿胀或活动受限等症状。
- 偶有症状:极少数情况下,如果病灶恰好位于受力点或比较大,孩子可能会在活动时感到轻微的、非特异性的局部酸痛,但这种情况非常罕见。
如何诊断?
诊断主要依靠影像学检查,并结合患儿的年龄和典型位置。
X光片(首选检查)
这是诊断该病的金标准,典型的X光片表现是:
- 位置:长骨的干骺端,靠近骨骺线。
- 形态:圆形或椭圆形的、边界清晰的透亮区(“空洞”)。
- 大小:通常较小,直径一般小于2厘米。
- 特征性表现:病灶的长轴与长骨的骨干平行,这是与其他骨病变(如骨样骨瘤、尤文氏肉瘤等)相鉴别的一个重要特征。
CT扫描
CT能提供更清晰的骨骼横断面图像,可以更精确地显示病灶的位置、大小和其内部的细微结构,有助于与其他病变进行鉴别。
核磁共振
MRI对软组织非常敏感,可以清楚地显示病灶内部是纤维组织,并且能观察周围骨髓和软组织的情况,对于不典型的病例,MRI有助于排除其他诊断。

骨扫描
骨扫描会显示病灶区域有轻微的放射性核素摄取,但缺乏特异性,通常不作为常规诊断工具。
如何治疗?
答案是:绝大多数情况下无需治疗!
-
定期复查(最主要的治疗方式):
- 由于这是一个自限性疾病,意味着它会随着孩子的生长发育,在青春期(通常在12-15岁)后自行愈合。
- 医生通常会建议在发现后的6个月到1年内复查一次X光片,观察病灶的变化。
- 在复查中,你会看到病灶的边界逐渐变得模糊,范围逐渐缩小,最终被正常的骨组织完全取代,完全“消失”。
-
手术治疗(极其罕见):
- 只有在极少数情况下才需要手术,
- 病灶非常大,引起持续的疼痛或病理性骨折(非常罕见)。
- 诊断不明确,无法排除恶性肿瘤的可能性。
- 手术通常是刮除病灶内的纤维组织,并用骨水泥或自体骨填充。
- 只有在极少数情况下才需要手术,
家长最关心的问题:这是癌症吗?会恶变吗?
明确回答:不是癌症,几乎不会恶变。
这是家长最大的担忧,请务必放心,儿童纤维性骨皮质缺损被归类为良性病变,它与骨肉瘤、尤文氏肉瘤等恶性肿瘤有本质的区别。
- 生长方式不同:恶性肿瘤通常生长迅速,边界不清,呈浸润性生长,并伴有疼痛,而纤维性骨皮质缺损生长缓慢或不生长,边界清晰。
- 自然病程不同:恶性肿瘤需要积极的治疗(手术、化疗、放疗),而纤维性骨皮质缺损只需观察等待其自愈。
- 预后完全不同:纤维性骨皮质缺损的预后是100%良好,不会对孩子未来的生长发育和健康造成任何影响。
与骨样骨瘤的鉴别
家长有时可能会在网络上查到“骨样骨瘤”,并感到恐慌,这两个病虽然都是良性骨病变,但有显著区别:
| 特征 | 儿童纤维性骨皮质缺损 | 骨样骨瘤 |
|---|---|---|
| 疼痛 | 绝大多数无疼痛 | 典型、剧烈、夜间加重,服用止痛药可缓解 |
| 位置 | 干骺端,靠近关节 | 骨皮质内(皮质内型)或骨膜下 |
| X光表现 | 透亮区,边界清,长轴平行骨干 | 中心有“瘤巢”(高密度影),周围有骨质硬化环 |
| 治疗 | 观察,自愈 | 手术切除“瘤巢”即可治愈 |
简单总结:如果孩子没有疼痛,X光片上膝盖附近有个小“洞”,那大概率是纤维性骨皮质缺损,完全不用担心,如果孩子有“夜间痛、止痛药有效”的典型症状,那才需要考虑骨样骨瘤。
给家长的建议
- 不要恐慌:当看到诊断报告时,首先要保持冷静,这是一个在儿童中非常普遍的良性发现。
- 咨询专业医生:请带孩子到小儿骨科或骨肿瘤科进行咨询,让专业医生解读影像学片子,给出最准确的诊断。
- 遵从医嘱,定期复查:按照医生的建议,在指定的时间进行X光片复查,亲眼见证病灶如何“消失”,这是对孩子健康最有力的证明。
- 正常生活和学习:不要因为这个诊断而限制孩子的正常活动,它不会影响孩子的运动、学习和生长发育。
最后再次强调:儿童纤维性骨皮质缺损是一个“发现时可能吓人,了解后完全放心”的疾病。 它是儿童骨骼成长过程中的一个小插曲,绝大多数情况下都会以完美愈合的方式结束。
标签: 儿童纤维性骨皮质缺损严重吗 儿童纤维性骨皮质缺损需要手术吗 儿童纤维性骨皮质缺损能自愈吗